- 0.35T
- HTS Coils
- Strongest Gradients
- Open MRI
- Image Quality comparable to 1.5T MRI in the market
- Ongoing Developing Vet Coils
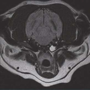
The PANION PRO comes with the double-pole open magnet design with a wide opening gap of 40 cm to accommodate large-sized animals on an efficient patient handling platform, the strongest gradient amplitude at 33mT/m and slew rate of 90 T/m/s, among all other open MRI systems, resulting in high spatial resolution of images in short scan time. The 6-direction patient table permits iso-centre imaging of all anatomical regions.
Clinical Images












Other Veterinary Products